İçeriğe geç
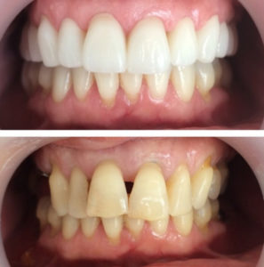
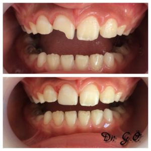
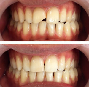
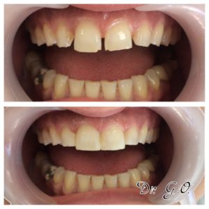
Dr.Gözde Özyanat

Diş Hekimi & Protez Uzmanı

  • Ana Sayfa
  • Hastalar İçin
  • Özgeçmiş
  • Akademik
  • İletişim
  • twitter
  • facebook
  • instagram
Anasayfa >

Dr.Gözde Özyanat

Diş Hekimi & Protez Uzmanı
copyright 2020 gözde özyanat